Hammasimplantti
Hammasimplantti on kestävä ja luonnollisen tuntuinen tapa korvata puuttuva hammas. Se koostuu leukaluuhun asetettavasta titaaniruuvista, joka toimii keinotekoisena juurena, sekä yksilöllisesti valmistetusta kruunusta. Kruunu vastaa ulkonäöltään ja toiminnaltaan omaa hammasta. Implanttihoito suunnitellaan aina potilaskohtaisesti, jotta tulos on toimiva ja esteettinen. Hoidon avulla palautetaan luonnollinen purenta ja hymy – usein vuosikymmeniksi. Tällä sivulla kerrotaan tarkemmin implanttihoidosta ja sen eri vaiheista. Lopussa on kaksi videota: ensimmäinen näyttää implanttileikkauksen ja toinen kruunun valmistuksen vastaanotolla ja laboratoriossa.
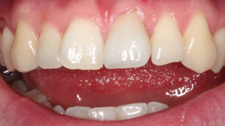
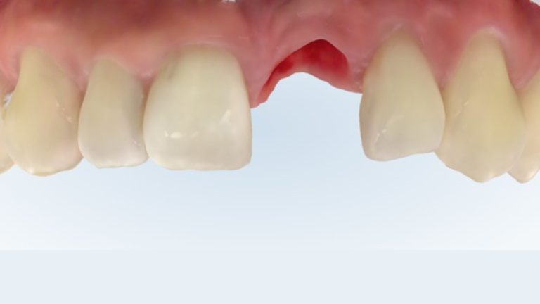
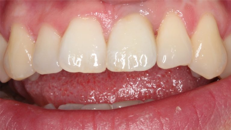
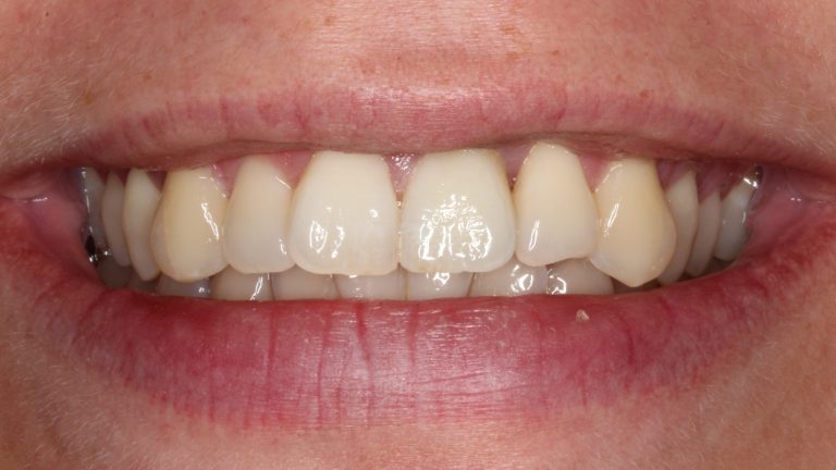
Alla on kuvasarja hoidosta, jossa potilaan vasen etuhammas jouduttiin poistamaan halkeaman ja tulehduksen vuoksi. Ensimmäisissä kuvissa tulehtunut hammas on vielä paikallaan ja se kuvataan sekä jäljennetään digitaalisesti suunnittelua varten. Viimeiset kuvat ovat kontrollikuvia muutama viikko hoidon päättymisen jälkeen.






Implantti ja implanttikruunu
Perinteisesti rakennekokonaisuus koostuu leukaluuhun asetettavasta implantista ja sen päälle kiinnitettävästä väliosasta (abutmentista), jonka päälle on kiinnitetty keraaminen kruunu.
Ensimmäisessä kuvassa on implanttikruunu, jossa on yksilöllinen titaaninen väliosa, jonka päälle on kiinnitetty litiumdisilikaattipohjaisesta lasikeramiasta valmistettu kruunu. Tämä kokonaisuus kiinnitetään leukaluuhun asetettuun implanttiin. Toisessa kuvassa kruunu on kiinnitetty implanttia jäljittelevään osaan. Kolmannessa kuvassa mallilla on vierekkäin valmis implanttikruunu ja perinteinen keraaminen kruunu.



Ennen hammasimplanttihoitoon ryhtymistä
Seuraavat asiat ovat tärkeitä huomioida, sillä niillä on merkittävä vaikutus hoidon onnistumiseen pitkällä aikavälillä.
Potilasvalinta: Merkittävimpiä riskitekijöitä implanttihoidolle ovat huono suuhygienia ja tupakointi sekä tietyt sairaudet ja lääkitykset.
Ienterveys: Ennen implanttihoitoon ryhtymistä, ientulehdusta tai aktiivista iensairautta (parodontiitti) ei saisi olla. Ienterveys linkittyy vahvasti suuhygieniatasoon.
Muu hampaisto: Purenta ja hampaiston kunto arvioidaan tarkkaan. Jos purenta on esimerkiksi kulunut tai suussa on heikkoja laajasti paikattuja hampaita, harkitaan niiden vahvistamista implanttihoidon yhteydessä.
Hammasimplantti vai -silta?
Toisin kuin hammassiltojen kohdalla, implanttihammas ei vaadi viereisten hampaiden hiomista pilareiksi, vaan ne säilyvät täysin koskemattomina tai ne voidaan kruunuttaa erikseen. Tietyissä harvemmissa tilanteissa silta on kuitenkin edelleen hyvä ratkaisu hammaspuutoksen korvaamiseen. Alla on kuvia silloista, jossa kaksi hammasta on hiottu pilareiksi yhden hammaspuutoksen korvaamiseksi.



Hoidon vaiheet
Implanttihoito vaatii yhteistyötä Mikon, suu- ja leukakirurgian erikoishammaslääkärin ja hammasteknikon välillä. Mikko tekee hoidon suunnittelun ja kirurgi asettaa implantin leukaluuhun. Luutumisen jälkeen Mikko hoitaa implanttikruunun loput vaiheet vastaanotolla ja hammasteknikko vastaa keraamisen kruunun valmistuksesta hammaslaboratoriossa. Jos kyseessä on yksinkertainen yhden takahampaan korvaaminen, hoito etenee seuraavasti.
1. Alkutarkastus ja suunnittelu: Mikko tutkii suun ja hampaiston sekä ottaa tarvittavat röntgenkuvat. Tutkimusten jälkeen tehdään hoitosuunnitelma.
2. Implantin asettaminen: Titaani-implantti asetetaan leukaluuhun paikkaan, jossa hammas puuttuu. Tämä käynti vaatii paikallispuudutuksen.
3. Luutumisvaihe: Implantin ja leukaluun välillä tapahtuu luutumista, joka kestää muutamasta kuukaudesta puoleen vuoteen. Tänä aikana implantti integroituu tiiviisti leukaluuhun.
4. Väliosan ja kruunun asennus: Kun implantti on luutunut paikoilleen, siihen kiinnitetään abutmentti (väliosa), jonka päällä on kruunu (suussa näkyvä hammas).
5. Kontrollikäynti: Mikko tai lähettävä hammaslääkäri kontrolloi ienterveyden, implanttikruunun purennan sekä ottaa röntgenkuvan.
Esteettisen alueen implanttityöt vaativat useampia käyntejä ja huolellisen suunnittelun merkitys korostuu. Usein hampaan poiston yhteyteen on valmistettu valmiiksi väliaikainen irrotettava proteesihammas, jota käytetään kunnes implantti on luutunut ja valmis kuormitettavaksi. Usein tämän jälkeen valmistetaan väliaikainen implanttikruunu, jolla muotoillaan ientä ja testataan esteettisyyttä sekä toiminnallisuutta ennen lopullisen implanttikruunun valmistamista. Lisätietoa esteettisen alueen hoidoista tästä.
Vaativat esteettisen alueen implanttihoidot tai useampia implantteja sisältävät hoidot ovat aina haasteellisia ja niihin liittyy paljon erityispiirteitä. Joskus kyseeseen voi tulla hoidon totetutus protetiikan ja purentafysiologian erikoishammaslääkärin toimesta.
Hoidon jälkeen
Kun implanttihoito on tehty asianmukaisesti, sillä on hyvä ennuste. Huolellisella omahoidolla ja tupakoimattomuudella sekä säännöllisillä tarkastuksilla on merkittävin vaikutus implanttihoidon onnistumiselle pitkäaikaisesti.
Hampaiden harjaus: Hampaat tulee harjata kahdesti päivässä pehmeällä hammasharjalla fluoritahnaa käyttäen. Huomiota on kiinnitettävä ienrajan huolelliseen harjaukseen myös implantin kohdalla.
Hammasvälien puhdistus: Hammasvälit tulee puhdistaa vähintään kerran päivässä. Mikko ohjeistaa oikean puhdistusvälineen käytön implantin ja oman hampaan väliin. Kuvassa opastetaan silikonitikun käyttö implanttihampaan ja oman hampaan välissä.
Hammaslääkärikäynnit: Säännölliset tarkastukset ovat tärkeitä, jotta implanttihoito on mahdollisimman pitkäkestoinen ratkaisu. Tarkastuksen yhteydessä Mikko tarkistaa implantin purennan, ikenen terveyden ja rakenteiden kunnon.
Puhdistuskäynnit: Vastaanottomme suuhygienistin tekemien puhdistuskäyntien tarve arvioidaan potilaskohtaisesti. Käynnit ovat tärkeitä, jotta implantin ympärille ei pääse kertymään hammaskiveä ja muodostumaan ientulehdusta.
Toimenpidevideot
Ensimmäisellä videolla esitetään implanttileikkaus. Toisella videolla hammasimplantti on luutunut 3 kuukauden ajan ja Mikko alkaa valmistamaan implanttikruunua yhteistyössä hammasteknikon kanssa. Videoilla ei ole sama potilas kyseessä.
Implantin asettaminen (huom. videolla näytetään leikkaustoimenpide)
Implanttikruunun valmistusprosessin vaiheet vastaanotolla ja hammaslaboratoriossa
Tervetuloa Mikon vastaanotolle!
Voit tutustua Mikkoon tästä. Jos jokin mietityttää tai sinulle herää kysymyksiä, voit olla yhteydessä jo etukäteen: mikko.nyman@oral.fi
